Для бизнеса

ВходРегистрация

  • 3
  • 0

+996 554 989 3xx

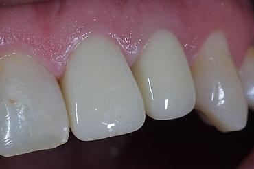
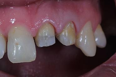
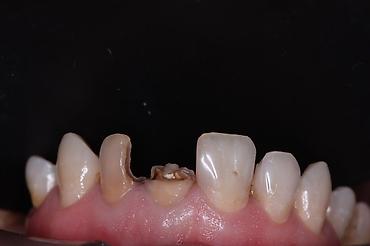
Стоматологическая услуга: реставрация передних зубов с применением

Стоматологическая услуга: реставрация передних зубов с применением стекловолоконных штифтов и композитных виниров/накладок

Описание:
- Восстановление сильно разрушенных резцов и клыков с сохранением собственных корней.
- Использование стекловолоконных штифтов для армирования и надёжной фиксации коронковой части.
- Послойная композитная реставрация с точным подбором оттенка под соседние зубы.
- Формирование естественной анатомии, контактных пунктов и режущего края.
- Работа под коффердамом для сухого поля и долговечной адгезии.
- Минимально инвазивный подход: снятие минимального количества твёрдых тканей.
- Коррекция цвета и формы, закрытие сколов и трещин, выравнивание линии улыбки.
- Полировка до зеркального блеска, гладкая поверхность, комфорт при прикусе.
- Клинические этапы на фото: исходное состояние, препарирование, установка штифтов, финальный результат.

Создано: 04.04.2026
Обновлено: 04.04.2026
ID 112116480

Поделиться с друзьями

Договорная

+996 554 989 3xx

Смотрите похожие

  • Ортодонтическое лечение брекет‑системой по акции за 7990 на одну
    Ортодонтическое лечение брекет‑системой по акции за 7990 на одну
      VIP
    14 990 KGS

    7 990 KGS

    Ищу работу

    Ортодонтическое лечение брекет‑системой по акции за 7990 на одну

    Ортодонтическое лечение брекет‑системой по акции за 7990 на одну челюсть - Исправление прикуса и выравнивание зубов с помощью классических брекетов. - Этапы результата на фото: исходное положение,...
  • Профессиональная гигиена полости рта (ультразвуковое снятие зубного
    Профессиональная гигиена полости рта (ультразвуковое снятие зубного
      VIP
    2 490 KGS

    1 490 KGS

    Ищу работу

    Профессиональная гигиена полости рта (ультразвуковое снятие зубного

    Профессиональная гигиена полости рта (ультразвуковое снятие зубного камня + AirFlow + полировка)писать на ватсап 1490 сом,места ограничены Также брекет системы по акции 14990 на обе челюсти - Комп...
  • Профессиональная гигиена полости рта: снятие зубного камня и
    Профессиональная гигиена полости рта: снятие зубного камня и
      VIP

    1 800 KGS

    Ищу работу

    Профессиональная гигиена полости рта: снятие зубного камня и

    Профессиональная гигиена полости рта: снятие зубного камня и пигментированного налёта - Комплексная чистка зубов с использованием ультразвука и воздушно-абразивной системы (Air-Flow) для бережного...
  • Профессиональная гигиена полости рта 1490сом вместо 2490сом Места
    Профессиональная гигиена полости рта 1490сом вместо 2490сом Места
      VIP
    2 490 KGS

    1 490 KGS

    Ищу работу

    Профессиональная гигиена полости рта 1490сом вместо 2490сом Места

    Профессиональная гигиена полости рта 1490сом вместо 2490сом Места ограничены!!! скидка на установку брекет систем 14990 на обе челюсти. - Комплексная чистка зубов с удалением твердых и мягких зубн...
  • Профессиональная гигиена полости рта: снятие зубного камня и
    Профессиональная гигиена полости рта: снятие зубного камня и
      VIP

    1 800 KGS

    Ищу работу

    Профессиональная гигиена полости рта: снятие зубного камня и

    Профессиональная гигиена полости рта: снятие зубного камня и пигментированного налёта - Комплексная чистка зубов с использованием ультразвука и воздушно-абразивной системы (Air-Flow) для бережного...
  • Ортодонтическое лечение брекет‑системой по акции за 7990 на одну
    Ортодонтическое лечение брекет‑системой по акции за 7990 на одну
      VIP
    14 990 KGS

    7 990 KGS

    Ищу работу

    Ортодонтическое лечение брекет‑системой по акции за 7990 на одну

    Ортодонтическое лечение брекет‑системой по акции за 7990 на одну челюсть - Исправление прикуса и выравнивание зубов с помощью классических брекетов. - Этапы результата на фото: исходное положение,...
  • Профессиональная гигиена полости рта (скейлинг + полировка +
    Профессиональная гигиена полости рта (скейлинг + полировка +

    1 800 KGS

    Ищу работу

    Профессиональная гигиена полости рта (скейлинг + полировка +

    Профессиональная гигиена полости рта (скейлинг + полировка + реминерализация) - Комплексная чистка зубов от мягкого налёта и пигментации - Удаление зубного камня ультразвуком (скейлинг) по краю де...
  • Профессиональная гигиена полости рта (ультразвуковое снятие зубного
    Профессиональная гигиена полости рта (ультразвуковое снятие зубного
      VIP
    2 490 KGS

    1 490 KGS

    Ищу работу

    Профессиональная гигиена полости рта (ультразвуковое снятие зубного

    Профессиональная гигиена полости рта (ультразвуковое снятие зубного камня + AirFlow + полировка)писать на ватсап 1490 сом,места ограничены Также брекет системы по акции 14990 на обе челюсти - Комп...
  • Стоматолог. С опытом. Аренда места
    Стоматолог. С опытом. Аренда места

    Договорная

    Ищу работу

    Стоматолог. С опытом. Аренда места

    Лечение кариеса , чистка Зубов , удаление Зубов , имплантация Ваш стоматолог вам всегда поможет⚕️ •Безболезненно •Качественно •На гарантии ☎️обращайтесь по номеру телефона
  • Зубной техник (Premium-класс) С опытом работы ( 10 лет)
    Зубной техник (Premium-класс) С опытом работы ( 10 лет)

    Договорная

    Ищу работу

    Зубной техник (Premium-класс) С опытом работы ( 10 лет)

    Зубной техник (Premium-класс) С опытом работы ( 10 лет) Металлокерамика 1000 сом / ЛСП 1200сом Циркон 3000сом / с нанесением 3500 сом Простые коронки 600сом Нейлон протезы 5000 сом (Германия)
  • Профессиональная гигиена полости рта 1490сом вместо 2490сом Места
    Профессиональная гигиена полости рта 1490сом вместо 2490сом Места
      VIP
    2 490 KGS

    1 490 KGS

    Ищу работу

    Профессиональная гигиена полости рта 1490сом вместо 2490сом Места

    Профессиональная гигиена полости рта 1490сом вместо 2490сом Места ограничены!!! скидка на установку брекет систем 14990 на обе челюсти. - Комплексная чистка зубов с удалением твердых и мягких зубн...
  • Ищу работу, ассистента врача стоматолога Опыт работы имеется, со
    Ищу работу, ассистента врача стоматолога Опыт работы имеется, со

    Договорная

    Ищу работу

    Ищу работу, ассистента врача стоматолога Опыт работы имеется, со

    Ищу работу, ассистента врача стоматолога Опыт работы имеется, со 2курса В данный момент на 5курсе Ищу на долгосрочно, с возможностью остаться на ординатуре Умею делать проф.гигиену полости рта, ка...
  • Жумуш издейм: стоматологдун ассистенти. Жогорку медициналык билимим
    Жумуш издейм: стоматологдун ассистенти. Жогорку медициналык билимим

    Договорная

    Ищу работу

    Жумуш издейм: стоматологдун ассистенти. Жогорку медициналык билимим

    Жумуш издейм: стоматологдун ассистенти. Жогорку медициналык билимим бар, ординатураны бүткөм. Ищу работу на должность ассистента стоматолога. Имею вы...
  • Стоматолог. 1-2 года опыта. Аренда места
    Стоматолог. 1-2 года опыта. Аренда места

    25 000 KGS

    Ищу работу

    Стоматолог. 1-2 года опыта. Аренда места

    Сдаются кабинеты для стоматолога Имеется лицензия Полдня 25 тыс или целый день 45 тыс С 8:00 до 21:00. Установки все новые в пленке, имеется мебель и кварцевый шкаф в каждом кабинете. Автоклав, р...
  • Стоматолог. С опытом. Фиксированная оплата
    Стоматолог. С опытом. Фиксированная оплата

    Договорная

    Ищу работу

    Стоматолог. С опытом. Фиксированная оплата

    В Стоматологический кабинет требуется ассистент стоматолога, условия хорошие график гибкий, все что требуется чистоплотность пунктуальность и исполнительность! Требования парни с приятной внешност...
  • Врач стоматолог-ортопед. 15 лет стаж и Опыт в ГСП. Окончил КГМА
    Врач стоматолог-ортопед. 15 лет стаж и Опыт в ГСП. Окончил КГМА

    Договорная

    Ищу работу

    Врач стоматолог-ортопед. 15 лет стаж и Опыт в ГСП. Окончил КГМА

    Врач стоматолог-ортопед. 15 лет стаж и Опыт в ГСП. Окончил КГМА. (Цирконий, Металлокерамика, любое Сьмное и не Съёмное протезирование, итд).
  • Эстетическая реставрация жевательных зубов композитом -
    Эстетическая реставрация жевательных зубов композитом -

    Договорная

    Ищу работу

    Эстетическая реставрация жевательных зубов композитом -

    Эстетическая реставрация жевательных зубов композитом - Восстановление анатомии и функции моляров при кариозных поражениях и сколах. - Используются современный светоотверждаемый композит и адгезив...
  • Учебные стоматологические модели челюстей - Набор анатомических
    Учебные стоматологические модели челюстей - Набор анатомических

    3 000 KGS

    Ищу работу

    Учебные стоматологические модели челюстей - Набор анатомических

    Учебные стоматологические модели челюстей - Набор анатомических моделей зубов в прозрачных подставках. - Макет с брекет-системой: показаны дуги, замочки разного типа и межчелюстные элементы — подх...