Для бизнеса

ВходРегистрация

  • 5
  • 0

+996 554 989 3xx

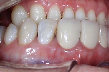
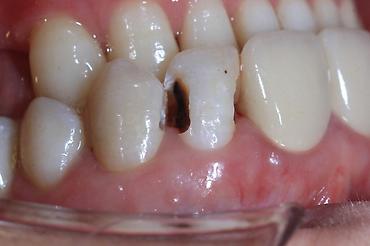
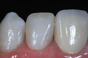
Реставрация передних зубов композитом (эстетическая пломба) -

Реставрация передних зубов композитом (эстетическая пломба)

- Восстановление разрушенных и кариозных участков режущего края и контактных поверхностей.
- Послойная техника с подбором оттенка под натуральный цвет эмали.
- Формирование анатомии и прозрачности для незаметного перехода “свой зуб – реставрация”.
- Работа под кофердамом для изоляции и долговечной адгезии.
- Минимально инвазивная подготовка тканей.
- Полировка до зеркального блеска и корректная межзубная контактация.
- Подходит для сколов, межзубных кариозных полостей, дефектов эмали, старых неэстетичных пломб.

Результат на фото: удаление кариеса, изоляция, моделировка и окончательная реставрация с естественной формой и цветом.

Создано: 29.04.2026
Обновлено: 21.05.2026
ID 112774248

Поделиться с друзьями

Договорная

+996 554 989 3xx

Смотрите похожие

  • Композитные виниры Услуга эстетической реставрации зубов композитными
    Композитные виниры Услуга эстетической реставрации зубов композитными
      VIP

    250 000 KGS

    Ищу работу

    Композитные виниры Услуга эстетической реставрации зубов композитными

    Композитные виниры Услуга эстетической реставрации зубов композитными винирами. Позволяет скорректировать форму, цвет и незначительные дефекты эмали, закрыть щели, выровнять линию улыбки. Изготавл...
  • Акция!!!Стоматологическая услуга: лечение кариеса средней стадии и
    Акция!!!Стоматологическая услуга: лечение кариеса средней стадии и
      VIP
    3 000 KGS

    1 700 KGS

    Ищу работу

    Акция!!!Стоматологическая услуга: лечение кариеса средней стадии и

    Акция!!!Стоматологическая услуга: лечение кариеса средней стадии и восстановление жевательных зубов композитными пломбами - Диагностика и подготовка зубов с кариозными полостями. - Изоляция рабоче...
  • Ортодонтическое лечение брекет‑системой за 15.000 на обе челюсти -
    Ортодонтическое лечение брекет‑системой за 15.000 на обе челюсти -
      VIP

    15 000 KGS

    Ищу работу

    Ортодонтическое лечение брекет‑системой за 15.000 на обе челюсти -

    Ортодонтическое лечение брекет‑системой за 15.000 на обе челюсти - Исправление прикуса и выравнивание зубов с помощью классических брекетов. - Этапы результата на фото: исходное положение, динами...
  • Акция!!!Профессиональная гигиена полости рта Места ограничены!!!
    Акция!!!Профессиональная гигиена полости рта Места ограничены!!!
      VIP
    2 500 KGS

    1 500 KGS

    Ищу работу

    Акция!!!Профессиональная гигиена полости рта Места ограничены!!!

    Акция!!!Профессиональная гигиена полости рта Места ограничены!!! скидка на установку брекет систем 14990 на обе челюсти. - Комплексная чистка зубов с удалением твердых и мягких зубных отложений. -...
  • Композитные виниры Услуга эстетической реставрации зубов композитными
    Композитные виниры Услуга эстетической реставрации зубов композитными
      VIP

    250 000 KGS

    Ищу работу

    Композитные виниры Услуга эстетической реставрации зубов композитными

    Композитные виниры Услуга эстетической реставрации зубов композитными винирами. Позволяет скорректировать форму, цвет и незначительные дефекты эмали, закрыть щели, выровнять линию улыбки. Изготавл...
  • Виниры/коронки для реставрации передних зубов - Комплексная
    Виниры/коронки для реставрации передних зубов - Комплексная

    Договорная

    Ищу работу

    Виниры/коронки для реставрации передних зубов - Комплексная

    Виниры/коронки для реставрации передних зубов - Комплексная эстетическая реставрация фронтальной группы зубов: устранение сколов, кариозных поражений, потемнений и неровностей. - Индивидуальное мо...
  • Акция!!!Стоматологическая услуга: лечение кариеса средней стадии и
    Акция!!!Стоматологическая услуга: лечение кариеса средней стадии и
      VIP
    3 000 KGS

    1 700 KGS

    Ищу работу

    Акция!!!Стоматологическая услуга: лечение кариеса средней стадии и

    Акция!!!Стоматологическая услуга: лечение кариеса средней стадии и восстановление жевательных зубов композитными пломбами - Диагностика и подготовка зубов с кариозными полостями. - Изоляция рабоче...
  • Стоматологическая услуга: реставрация передних зубов с применением
    Стоматологическая услуга: реставрация передних зубов с применением

    Договорная

    Ищу работу

    Стоматологическая услуга: реставрация передних зубов с применением

    Стоматологическая услуга: реставрация передних зубов с применением стекловолоконных штифтов и композитных виниров/накладок Описание: - Восстановление сильно разрушенных резцов и клыков с сохранени...
  • Ортодонтическое лечение брекет‑системой за 15.000 на обе челюсти -
    Ортодонтическое лечение брекет‑системой за 15.000 на обе челюсти -
      VIP

    15 000 KGS

    Ищу работу

    Ортодонтическое лечение брекет‑системой за 15.000 на обе челюсти -

    Ортодонтическое лечение брекет‑системой за 15.000 на обе челюсти - Исправление прикуса и выравнивание зубов с помощью классических брекетов. - Этапы результата на фото: исходное положение, динами...
  • Акция!!!Профессиональная гигиена полости рта Места ограничены!!!
    Акция!!!Профессиональная гигиена полости рта Места ограничены!!!
      VIP
    2 500 KGS

    1 500 KGS

    Ищу работу

    Акция!!!Профессиональная гигиена полости рта Места ограничены!!!

    Акция!!!Профессиональная гигиена полости рта Места ограничены!!! скидка на установку брекет систем 14990 на обе челюсти. - Комплексная чистка зубов с удалением твердых и мягких зубных отложений. -...
  • Несъёмные зубные протезы на имплантах (формат «полная дуга») -
    Несъёмные зубные протезы на имплантах (формат «полная дуга») -

    Договорная

    Ищу работу

    Несъёмные зубные протезы на имплантах (формат «полная дуга») -

    Несъёмные зубные протезы на имплантах (формат «полная дуга») - Конструкция: цельнофрезерованные мостовидные протезы на 4–6 имплантах по каждой челюсти, с винтовой фиксацией. Отверстия под винты за...
  • Профессиональная гигиена полости рта: снятие зубного камня и
    Профессиональная гигиена полости рта: снятие зубного камня и

    1 800 KGS

    Ищу работу

    Профессиональная гигиена полости рта: снятие зубного камня и

    Профессиональная гигиена полости рта: снятие зубного камня и пигментированного налёта - Комплексная чистка зубов с использованием ультразвука и воздушно-абразивной системы (Air-Flow) для бережного...
  • Съёмный протез на имплантатах (верхняя и нижняя челюсть) Описание: -
    Съёмный протез на имплантатах (верхняя и нижняя челюсть) Описание: -

    Договорная

    Ищу работу

    Съёмный протез на имплантатах (верхняя и нижняя челюсть) Описание: -

    Съёмный протез на имплантатах (верхняя и нижняя челюсть) Описание: - Конструкция для полной реабилитации беззубых челюстей. - Фиксация на 4 имплантатах на каждой челюсти: установлены мультиюнит-аб...
  • Стоматолог. С опытом. Аренда места
    Стоматолог. С опытом. Аренда места

    Договорная

    Ищу работу

    Стоматолог. С опытом. Аренда места

    Лечение кариеса , чистка Зубов , удаление Зубов , имплантация Ваш стоматолог вам всегда поможет⚕️ •Безболезненно •Качественно •На гарантии ☎️обращайтесь по номеру телефона
  • Ищу работу, ассистента врача стоматолога Опыт работы имеется, со
    Ищу работу, ассистента врача стоматолога Опыт работы имеется, со

    Договорная

    Ищу работу

    Ищу работу, ассистента врача стоматолога Опыт работы имеется, со

    Ищу работу, ассистента врача стоматолога Опыт работы имеется, со 2курса В данный момент на 5курсе Ищу на долгосрочно, с возможностью остаться на ординатуре Умею делать проф.гигиену полости рта, ка...
  • Стоматолог. 1-2 года опыта. Аренда места
    Стоматолог. 1-2 года опыта. Аренда места

    25 000 KGS

    Ищу работу

    Стоматолог. 1-2 года опыта. Аренда места

    Сдаются кабинеты для стоматолога Имеется лицензия Полдня 25 тыс или целый день 45 тыс С 8:00 до 21:00. Установки все новые в пленке, имеется мебель и кварцевый шкаф в каждом кабинете. Автоклав, р...
  • Профессиональная гигиена полости рта (скейлинг + полировка +
    Профессиональная гигиена полости рта (скейлинг + полировка +

    1 800 KGS

    Ищу работу

    Профессиональная гигиена полости рта (скейлинг + полировка +

    Профессиональная гигиена полости рта (скейлинг + полировка + реминерализация) - Комплексная чистка зубов от мягкого налёта и пигментации - Удаление зубного камня ультразвуком (скейлинг) по краю де...
  • Зубной техник (Premium-класс) С опытом работы ( 10 лет)
    Зубной техник (Premium-класс) С опытом работы ( 10 лет)

    Договорная

    Ищу работу

    Зубной техник (Premium-класс) С опытом работы ( 10 лет)

    Зубной техник (Premium-класс) С опытом работы ( 10 лет) Металлокерамика 1000 сом / ЛСП 1200сом Циркон 3000сом / с нанесением 3500 сом Простые коронки 600сом Нейлон протезы 5000 сом (Германия)
  • Стоматолог. С опытом. Фиксированная оплата
    Стоматолог. С опытом. Фиксированная оплата

    Договорная

    Ищу работу

    Стоматолог. С опытом. Фиксированная оплата

    В Стоматологический кабинет требуется ассистент стоматолога, условия хорошие график гибкий, все что требуется чистоплотность пунктуальность и исполнительность! Требования парни с приятной внешност...
  • Врач стоматолог-ортопед. 15 лет стаж и Опыт в ГСП. Окончил КГМА
    Врач стоматолог-ортопед. 15 лет стаж и Опыт в ГСП. Окончил КГМА

    Договорная

    Ищу работу

    Врач стоматолог-ортопед. 15 лет стаж и Опыт в ГСП. Окончил КГМА

    Врач стоматолог-ортопед. 15 лет стаж и Опыт в ГСП. Окончил КГМА. (Цирконий, Металлокерамика, любое Сьмное и не Съёмное протезирование, итд).
  • Учебные стоматологические модели челюстей - Набор анатомических
    Учебные стоматологические модели челюстей - Набор анатомических

    3 000 KGS

    Ищу работу

    Учебные стоматологические модели челюстей - Набор анатомических

    Учебные стоматологические модели челюстей - Набор анатомических моделей зубов в прозрачных подставках. - Макет с брекет-системой: показаны дуги, замочки разного типа и межчелюстные элементы — подх...