
- VIP
Договорная
Вакансия
Стоматолог. Аренда места. Ошский рынок / базар
Требуется врачи на арендной основе Аренда на пол дня 14000 на полный день 28000 Адрес :ул.Токтогула пер.Бейшеналиева 36Вход•Регистрация
+996 554 989 3xx
Эстетическая реставрация передних зубов: керамические виниры/коронки
- Полное восстановление формы, цвета и симметрии передней группы зубов
- Комплексная подготовка: удаление кариозных поражений, санация, моделирование будущей улыбки
- Индивидуальный подбор оттенка и прозрачности под естественную эмаль
- Точная посадка по прикусу для комфортного жевания и речи
- Гладкая полированная поверхность — стойкость к пигментации, легкий уход
- Материалы: высокопрочная керамика (естественная светопередача, биосовместимость)
- Фотопротокол “до/после” и контроль результата
Подходит для:
- сколов, трещин, диастем и трем
- выраженной стираемости и неровных краев
- потемнения/пятен, не поддающихся отбеливанию
- коррекции формы и линии улыбки без массивного препарирования
Что включено:
- диагностика и планирование лечения
- препарирование с максимальным сохранением тканей
- временные эстетические накладки на период изготовления
- установка и финальная полировка
Рекомендации по уходу: щадящая гигиена щеткой с мягкой щетиной, ирригатор/флосс, регулярная профессиональная чистка.
Договорная
Был(а) в сети 16.05.26
Отвечает на 75% сообщений Обычно в течение дня

Договорная
Вакансия
Стоматолог. Аренда места. Ошский рынок / базар
Требуется врачи на арендной основе Аренда на пол дня 14000 на полный день 28000 Адрес :ул.Токтогула пер.Бейшеналиева 36
Договорная
Вакансия
Стоматолог. Фиксированная оплата. Ботанический сад
Вакансия: ассистент стоматолога Обязанности: - Подготовка кабинета и инструментов к приёму, соблюдение протоколов асептики и антисептики - Ассистирование врачу «в четыре руки» на терапевтическом, ...
1 500 KGS
Вакансия
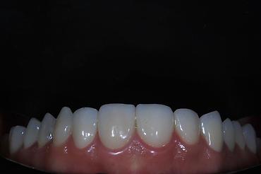
Трёхэтапная профессиональная чистка зубов Что входит: - Удаление
Трёхэтапная профессиональная чистка зубов Что входит: - Удаление зубного камня ультразвуком - Снятие мягкого налёта Air Flow/пескоструй - Полировка и фторирование эмали для гладкости и защиты Рез...
Договорная
Вакансия
Стоматология Бишкек 📍 Акция на 3 дня Чистка / отбеливание / лечение
Стоматология Бишкек 📍 Акция на 3 дня Чистка / отбеливание / лечение кариеса При записи на отбеливание зубов—3х этапная чистка Зубов в подарок и скидка -50% Для записи писать по номеру: 0770098009
Договорная
Вакансия
Стоматолог. Фиксированная оплата. Ботанический сад
Вакансия: ассистент стоматолога Обязанности: - Подготовка кабинета и инструментов к приёму, соблюдение протоколов асептики и антисептики - Ассистирование врачу «в четыре руки» на терапевтическом, ...
Договорная
Вакансия
Съёмные зубные протезы под ваши задачи - Вакуумные протезы: плотная
Съёмные зубные протезы под ваши задачи - Вакуумные протезы: плотная фиксация за счёт вакуумного удержания, комфорт при жевании и речи, естественная эстетика. Подходят для частичного и полного восс...
1 000 KGS
Вакансия
Профессиональная гигиена полости рта (ультразвуковая чистка + AirFlow
Профессиональная гигиена полости рта (ультразвуковая чистка + AirFlow + полировка) - Комплексная очистка зубов от твердых и мягких отложений - Удаление зубного камня ультразвуком по всей окружност...
Договорная
Вакансия
Стоматолог. Аренда места. Ошский рынок / базар
Требуется врачи на арендной основе Аренда на пол дня 14000 на полный день 28000 Адрес :ул.Токтогула пер.Бейшеналиева 36
Договорная
Вакансия
Вакансия: врач-стоматолог Стоматологическая клиника приглашает
Вакансия: врач-стоматолог Стоматологическая клиника приглашает врача-стоматолога. Современный кабинеt с установкой, набором наконечников и инструментов, рентген/панорамный снимок на мониторе, свет...
1 500 KGS
Вакансия
Профессиональная чистка зубов всего за 1500 сом 🦷✨ Стоматология
Профессиональная чистка зубов всего за 1500 сом 🦷✨ Стоматология СтомСервис приглашает на профессиональную гигиену полости рта по специальной цене — всего 1500 сом. В процедуру входит: ✔ Удаление ...
Договорная
Вакансия
Стоматолог. Процент
🦷 В нашу команду требуется ВРАЧ-СТОМАТОЛОГ! Хочешь работать в клинике, где ценят твой профессионализм, поддерживают развитие и создают комфортные условия? Тогда тебе к нам 💙 Что ты будешь делать: ...
Договорная
Вакансия
Вакансия: ассистент стоматолога (мужчина) Требования: -
Вакансия: ассистент стоматолога (мужчина) Требования: - Ответственность и аккуратность - Желание обучаться и работать в команде - Опыт работы приветствуется Обязанности: - Подготовка рабочего мес...
300 000 KGS
Вакансия
Стоматолог. Процент
В стоматологическую клинику, требуются врачи стоматологи Но так же рассматриваем врачей, узкой направленности (терапевты, хирурги, ортодонт, ортопеды и тд.) Условия: - 3П:30% - Дружный коллект...
Договорная
Вакансия
Стоматолог. Аренда места
Аренда стоматологических кресел - Новые и современные модели для стоматологических кабинетов - Эргономичное сиденье с подголовником и подлокотниками - Электропривод с плавной регулировкой положени...
Договорная
Вакансия
Стоматолог. Фиксированная оплата. 7 мкр
В Частную клинику требуется врач стоматолог, владеющий современными методами диагностики, лечения и протезирования
Договорная
Вакансия
Стоматолог. Процент. ул. Московская / Ибраимова
Вакансия: детский стоматолог Ищем специалиста по детской стоматологии для работы в клинике. Основные задачи: - профилактика и лечение кариеса у детей, герметизация фиссур, реминерализирующая терап...
200 000 KGS
Вакансия
Ищем зубных техников для работы в клинике в России. Зарплата: от
Ищем зубных техников для работы в клинике в России. Зарплата: от 200,000 рублей. Умения изготовления: цельнолитых, метталокерамик, протезов: акриловых, бюгельных и нейлоновых.
Договорная
Вакансия
Сдаются кабинет для стоматологов в г.Кант
Сдаются кабинет для стоматологов в г.КантДоговорная
Вакансия
Срочно требуется стоматолог терапевт с опытом работы не менее 5 лет,в
Срочно требуется стоматолог терапевт с опытом работы не менее 5 лет,в стом клинику .Все вопросы только по тел
88 KGS
Вакансия
Стоматолог. Аренда места
Требуются Врачи стоматологи в клинику в центре города. Все условия обговариваются индивидуально при встрече. Звоните .
Договорная
Вакансия
СДАЕТСЯ !Стоматологический кабинет в городе Кара-Балта. По ул
СДАЕТСЯ !Стоматологический кабинет в городе Кара-Балта. По ул. Кожомбердиева рядом с Айыл банком . Нижний рынок.напротив стоматологии «Халил» - Компактная тумба-раковина с смесителем для гигиены ру...
Договорная
Вакансия
Открыта вакансия врача стоматолога. адрес
Открыта вакансия врача стоматолога. адрес : Московская/Турусбекова.Своё резюме отправляйте на номер